一、成都市第三人民医院口腔科介绍
成都市第三人民医院口腔科,不仅是一个专业的医疗机构,更是一个充满关怀与希望的港湾,为每一位渴望拥有健康牙齿、追求完美笑容的患者提供专业的服务。医院历史悠久,自1941年成立以来,一直致力于口腔医疗事业的发展,如今已成为集教学、科研、临床于一体的口腔医疗高地。它始终秉承着患者至上、技术精湛的原则,用专业的知识和技能,为无数患者带来了健康的笑容。

二、成都市第三人民医院口腔科牙齿矫正真实案例分享
术前:那是一个普通的夏日,我因为牙齿排列不齐而感到自卑,不敢在人群中大笑。每当看到别人整齐洁白的牙齿,我都会心生羡慕。在家人和朋友的鼓励下,我决定寻找专业的帮助,直到我遇见了成都市第三人民医院口腔科。

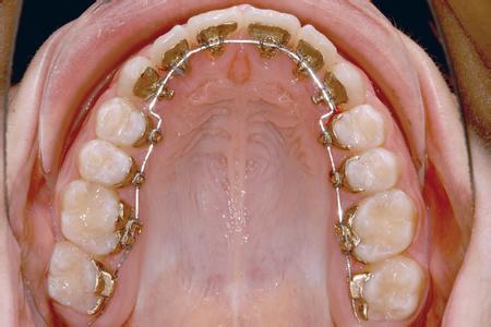
术中:走进医院的那一刻,我被这里的专业和温馨所吸引。医生团队详细检查了我的牙齿情况后,为我制定了一份个性化的牙齿矫正计划。手术当天,我躺在牙椅上,虽然有些紧张,但医生们的专业和耐心让我逐渐放松下来。在他们的操作下,我戴上了牙套,开始了牙齿矫正的旅程。

术后:医院提供的护理指南非常详细,从饮食调整到日常口腔清洁,都考虑得非常周到。护士们的细心照料,让我感受到了温暖和关怀。尽管初期的矫正过程有些不适,比如牙齿的酸痛和不能随意啃咬硬物,但我严格遵循医嘱,坚持每日的口腔清洁和定期复查。每一次复检,都像是见证了一场美丽的蜕变。

效果:几个月后,当我再次站在镜子前,看着自己逐渐变得整齐的牙齿,我感到无比的惊喜和满足。我的牙齿不仅在外形上得到了显著的改善,更重要的是,我重新找回了自信和笑容。现在,我可以毫无顾忌地在人群中大笑,享受每一次与他人的交流。这次经历,不仅让我拥有了健康的牙齿,更让我学会了珍惜和自信。
三、成都市第三人民医院口腔科点评
在成都市第三人民医院口腔科的牙齿矫正经历,对我而言,是一次非常专业和贴心的体验。医院不仅拥有先进的医疗设备和技术,更有一支技术精湛、充满人文关怀的医疗团队。从初诊时的详细检查,到矫正过程中的每一步指导,我都能感受到那份专业和用心。这次经历,不仅让我拥有了健康的牙齿,更让我感受到了医院对患者无微不至的关怀和照顾。
